Cost of Dental Veneers Explained
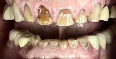
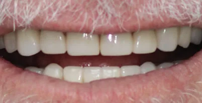
Before and Afters of Actual Patients





Our Patient Smile Makeovers



Trusted by Patients. Proven by Results. Chosen with Confidence.
Trust us to improve your smile and bring your normal lifestyle back. See what some of our past clients have to say
Schedule Free Virtual Consultation
For Cosmetic Dentistry, Dental Veneers,
and Smile Makeovers.
Fill out the form to schedule a FREE virtual consultation with Top Rated Cosmetic Dentist Dr. Leana Thanos.



